
'MOYAMOYA' நோய் என்பது மூளைப் பக்கவாதம் ஏற்படுவதற்கு உரிய அபூர்வமான காரணம் ஆகும். இந்த நோயானது சிறுவர்களையும், முதியவர்களையும் பாதிக்கும். இதனால் மூளைக்கு இரத்தம் எடுத்துச்செல்லும் முக்கிய இரத்த நாளங்கள் (உள்கழுத்துத் தமனிகள்) நாளடைவில் மெல்லச்சுருங்கி, இறுதியில் அடைப்பாக மாறிவிடும்.
இது ஒரு அரியவகை நோய் என்பதால் இது பாதிக்கப்பட்ட முதியவர்கள், குழந்தைகள் குறைவு. இருப்பினும் ஆசியாவில் இந்த நோய்க்கு இதுவரை அறுவை சிகிச்சை மேற்கொள்ளவில்லை என்று கூறப்படுகிறது. இந்த நிலையில் நெதர்லாந்தில் இருந்து 8 வயது இரட்டை பெண்குழந்தைகளுக்கு இந்த நோய் காணப்பட்டுள்ளது.

இதனால் அவர்கள் தமிழ்நாட்டிலுள்ள சிகிச்சையை நாடி வந்தனர். அந்த வகையில் சென்னை தரமணியில் உள்ள அப்போலோ புரோட்டான் கேன்சர் சென்டரில் அவர்களுக்கு சிகிச்சை அளிக்கப்பட்டது. இந்த நிலையில் இந்த நோய்க்கு மருந்து மாத்திரை இல்லாததால், இவர்களுக்கு அறுவை சிகிச்சை தான் தீர்வு என்று மருத்துவர்கள் கூறினர்.
இதைத்தொடர்ந்து மருத்துவர் ரூபேஷ் குமார் தலைமையிலான மருத்துவக்குழு இந்த இரட்டை சிறுமிகளுக்கு இன்று அறுவை சிகிச்சை மேற்கொண்டனர். சுமார் 5 மணி நேர நடைபெற்ற இந்த அறுவை சிகிச்சையை மருத்துவர்கள் வெற்றிகரமாக நடத்தி முடித்தனர்.

இந்த சம்பவம் குறித்து மருத்துவமனை நிர்வாகம் கூறுகையில், "அரியவகை நோயால் பாதிக்கப்பட்ட 8 வயது சிறுமிக்கு ஆசியாவிலே இங்கே தான் முதல்முறையாக அறுவை சிகிச்சை மேற்கொள்ள பட்டது. இந்த குழந்தைகளுக்கு வலது கை, மற்றும் காலில் வெட்டி இழுக்கும் (stroke) நகர்வுகள் இருந்தது. இந்த அரியவை நோய்க்கு மருந்து மாத்திரை எதுவும் கிடையாது.
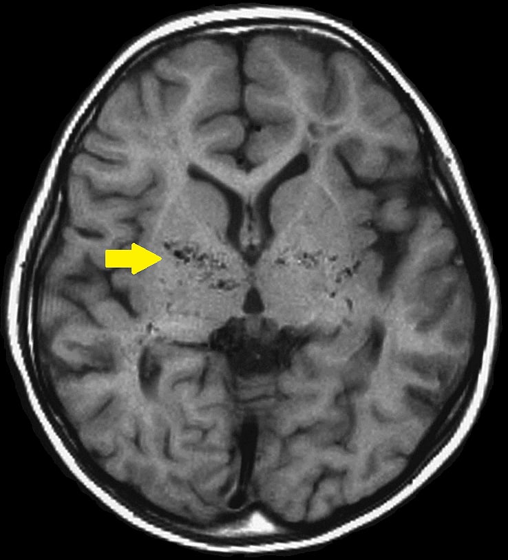
தற்போது வெற்றிகரமாக அறுவை சிகிச்சை முடிந்து சிறுமிகளும் நலமுடன் இருக்கின்றனர். இது போன்ற நிகழ்வு ஆசியாவிலே இது தான் முதல் முறை. தற்போது அவர்களது மூளையின் இடது பக்கத்தில் இரத்த ஓட்டம் மேம்படுத்தப்பட்டது ஸ்கேன்கள் மூலம் கண்டறியப்பட்டுள்ளது" என்றது.

மோயா மோயா நோய் என்றால், உடலில் உள்கழுத்துக்கு அடியிலும், முதுகுத்தண்டு வழியாகவும் மூளைக்கு இரத்தம் எடுத்துச் செல்லும் தமனிகள் உள்ளது. இந்த முக்கிய நாளங்கள், தலைக்குள் மூளையைப் பாதுகாப்பாக வைக்கும் மண்டையோட்டுக்குள் நுழைந்த பின்னர்தான் நாள அடைப்புகள் பாதிப்பு ஏற்படுகிறது.
அதனால், மூளைக்குப் போதிய அளவு இரத்தம் கிடைக்காமல், நோயாளிகள் மூளை அடைப்புக்கு உள்ளாகிறார்கள். இதனை ஈடுகட்டும் வகையில் மூளைக்கு அடியிலுள்ள நுண்ணிய ரத்தக்குழாய்கள் ஊதிப்பெரிதாகி, புதிய ரத்த ஓட்டத்திற்கான பாதையை உண்டாக்குகின்றன என்பது குறிப்பிடத்தக்கது.








